At the end of the day I want to know: Who’s paying all of these rappers to endorse Molly? The presence of this drug went from barely there to everywhere. Molly has become so laced and intertwined in our music that you can’t escape randomly hearing the name throughout the day. More and more rappers are beginning to glorify it. Everyone from, Rick Ross, Juicy J, Kanye West and even T.I have all referenced this new wonder drug in their music at some point. No one seemed to advocate this drug more than rap-newbie, Trinidad James. In his debut smash that is killing the charts, “All Gold Everything” his most famous line is: “Popped a Molly, i’m sweatin, WOO!” When I first began to hear this seemingly innocent name rise in popularity, I set out to find out what this drug was via research (Sorry, no test dummies here…)
After rigorous research, I came to a couple of conclusions. I found that Molly is allegedly what I like to call, “The Blue Magic” of Exstacy. In Other words: It is the purest form of Exstacy on the planet. However, The streets say otherwise: Molly is really meth. Could it be that Molly is a marketed, “cool”
form of this powerful drug that is devastating the country. When Meth rose to popularity, it was known as “the soccer mom drug” The number one victims were housewives all over suburbia. People who seemed to be well put together were falling prey to Meth. It was the drug that seemed to provide wonders in the beginning. Both the short and long term effects mixed with the growing popularity of this drug scared the hell out of America. A lot of Meth users report things such as: increased energy, maintained weight, and euphoria as some of the beginning perks to this drug. However, the sweet turns sour quickly. Over just a short time, Meth ages and literally transforms its users into human “mutants”.

Again, the question at hand is: What is Molly? What is this drug that has today’s Hip Hop generation in a frenzy? Is it Ecstacy or Meth? Educated sense says one thing while street sense states another. Whatever it is, it is being heavily marketed through Hip Hop. Nearly every other song that is being spinned on urban radio stations everywhere is referencing this as the ultimate party drug yet, we still don’t know exactly what it is. Whats even more devastating is to see all of the young people who are quick to trust this because their favorite rapper brags about poppin’ mollies and living “the life”. What is the real reality behind molly?
Both Ecstacy and Meth is known for raising the body’s temperature. In some cases, this has lead to organ and brain damage and in some instances, death. Both drugs
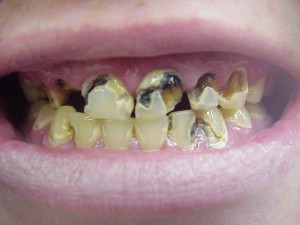
are stated to have a euphoric effect and may even cause psychosis. Both drugs cause an increase in heart-rate and blood pressure.This can cause major problems for users down the road including running the risk of heart disease and stroke. Weight loss and muscle tension are associate with both drugs. Aesthetically, both of these drugs morph its users into something else. You sacrifice your teeth and hair when you choose to partake in these recreational activities.
People have the perception that Molly is safe as long as you don’t abuse it. Can we truly stand behind this kind of thinking when it comes down to this drug? It is the Euphoric state that it puts you in that instantly hooks its users. What will 20 and 30 year studies on the effects of this drug say? After all of my research, I still cannot pinpoint exactly which drug family it belongs to. However, I can say this: The seemingly overnight popularity of this drug reminds me of the crack epidemic that rocked America in the early 80’s. The powerful influence that Hip Hop has is not helping in educating people on the risk that they run when they choose to partake in this drug. Looking at all the smokey mirrors in the music industry, I am forced to ask, Outside of a hook or a hott 16 bars, how many of these rappers are really living the “Molly Life”
Share this:
- Click to share on Facebook (Opens in new window) Facebook
- Click to share on Reddit (Opens in new window) Reddit
- Click to share on X (Opens in new window) X
- Click to email a link to a friend (Opens in new window) Email
- Click to share on Pinterest (Opens in new window) Pinterest
- Click to share on Tumblr (Opens in new window) Tumblr
- Click to share on LinkedIn (Opens in new window) LinkedIn
- Click to share on Pocket (Opens in new window) Pocket
- Click to print (Opens in new window) Print


